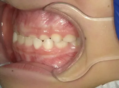
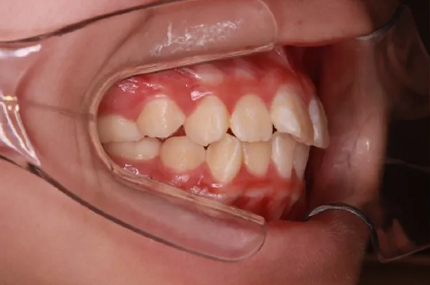
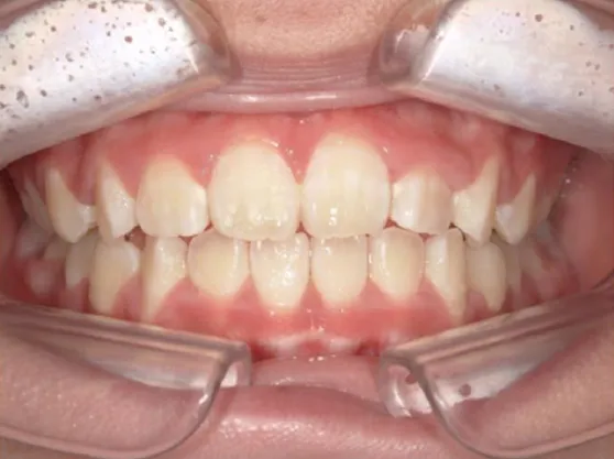
• Before
    After
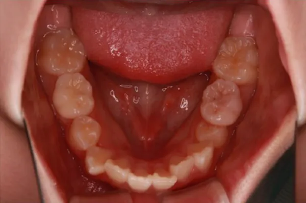
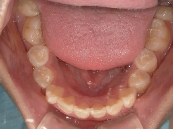
    Before
    After
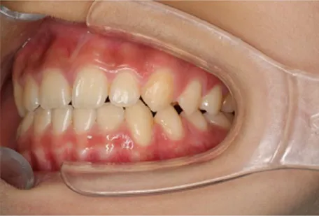
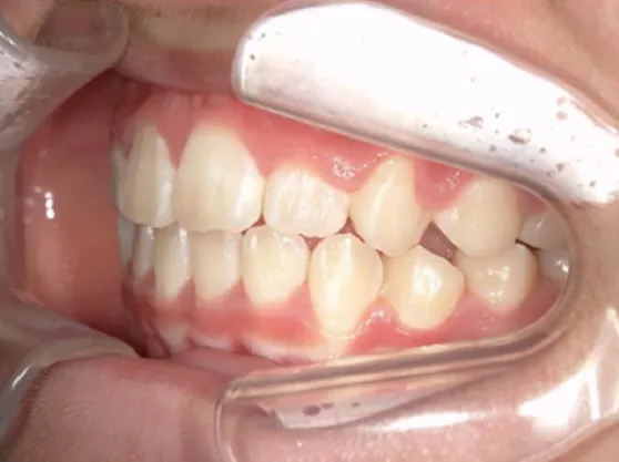
    Before
    After
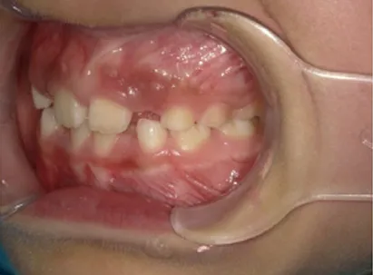
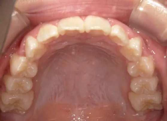
    Before
    After
    Before
    After

    成人矯正

    インビザライン、ワイヤー矯正も併用

    2年6か月

    資料取り55,000円、矯正費用660,000円、管理料5,500円

    症状を詳しく見る: 症例1
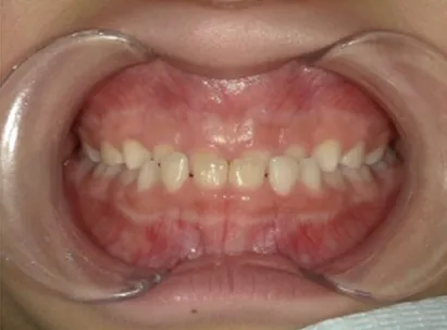
  • Before
    After
    Before
    After
    Before
    After
    Before
    After
    Before
    After

    成人矯正

    インビザライン

    親知らず4本抜歯

    1年6か月

    資料取り55,000円、矯正費用715,000円、管理料5,500円

    症状を詳しく見る: 症例2
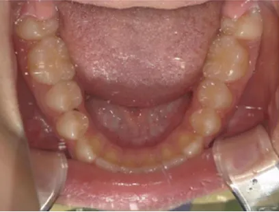
  • Before
    After
    Before
    After
    Before
    After
    Before
    After
    Before
    After

    成人矯正

    インビザライン

    親知らず4本抜歯

    1年

    資料取り55,000円、矯正費用803,000円、管理料5,500円

    症状を詳しく見る: 症例3
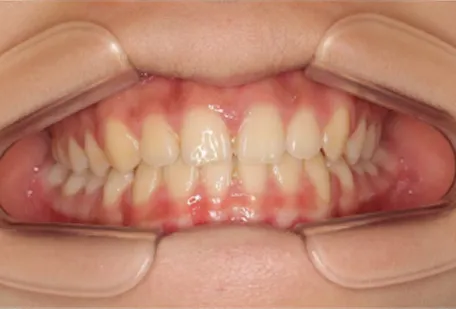
  • Before
    After
    Before
    After
    Before
    After
    Before
    After
    Before
    After

    小児矯正

    2年4カ月

    資料取り55,000円、矯正費用550,000円、管理料5,500円

    症状を詳しく見る: 症例4
  • Before
    After
    Before
    After
    Before
    After
    Before
    After
    Before
    After

    小児矯正

    2年

    資料取り55,000円、矯正費用550,000円、管理料5,500円

    症状を詳しく見る: 症例5
  • Before
    After
    Before
    After
    Before
    After
    Before
    After
    Before
    After

    小児矯正

    2年8カ月

    資料取り55,000円、矯正費用550,000円、管理料5,500円

    症状を詳しく見る: 症例6

ハピネス歯科 おとなこども歯科

clinic01

clinic01
clinic02

clinic02
clinic03

clinic03
clinic04

clinic04
clinic05

clinic05
clinic06

clinic06