
幸田町、岡崎市、西尾市、蒲郡で矯正治療をご検討の方へ
責任をもってあなたの歯並びを整える
インビザラインによる
マウスピース
矯正治療




幸田町、岡崎市、西尾市、蒲郡で矯正治療をご検討の方へ
責任をもってあなたの歯並びを整える
インビザラインによる
マウスピース
矯正治療



Promise
ハピネス歯科おとなこども歯科
”患者様とのお約束”

Promise 01
無料カウンセリングでは、患者様のお悩みについて真摯に相談に乗ります。
また、無理な契約を進めることはございませんので、お気軽にご予約ください。
Promise 02
綿密な治療計画をご提案してから治療を開始します。
Promise 03
格安マウスピース矯正や希望通りの歯並びにならなかった方や後戻りしてしまった方ご相談ください。
Features
ハピネス歯科おとなこども歯科が
”選ばれる9つの理由”

Features 01
累計2,000件の矯正治療実績
2016年3月の開業から2,000件以上矯正治療を行いました。
幸田町、岡崎市、西尾市、蒲郡で地域トップクラスの矯正治療実績がございます。
これまでの経験に基づき、患者様を綺麗な歯並びへと治療いたします。
初めての矯正治療で不安が多い方は、ぜひ当院にご相談ください。
Features 01
累計2,000件の矯正治療実績

2016年3月の開業から2,000件以上矯正治療を行いました。
幸田町、岡崎市、西尾市、蒲郡で地域トップクラスの矯正治療実績がございます。
これまでの経験に基づき、患者様を綺麗な歯並びへと治療いたします。
初めての矯正治療で不安が多い方は、ぜひ当院にご相談ください。

Features 02
矯正治療に精通した歯科医師が
安心安全を考慮して治療
当院では、特別な講習を受けることで取得できる「インビザラインドクター」のライセンス(免許)を持つ歯科医師が、矯正治療を担当いたします。
また、外部の歯科医師にも矯正指導を行う歯科医院です。矯正の研修に累計300名が来院しています。
Features 02
矯正治療に精通した歯科医師が
安心安全を考慮して治療

当院では、特別な講習を受けることで取得できる「インビザラインドクター」のライセンス(免許)を持つ歯科医師が、矯正治療を担当いたします。
また、外部の歯科医師にも矯正指導を行う歯科医院です。矯正の研修に累計300名が来院しています。

Features 03
無料カウンセリング実施中
お気軽にご相談ください
無料カウンセリングでは、矯正治療のご不安や患者様のお悩みについて、当院のスタッフが真摯に対応いたします。
無理な契約を進めることはございませんので、安心してご相談ください。
Features 03
無料カウンセリング実施中
お気軽にご相談ください

無料カウンセリングでは、矯正治療のご不安や患者様のお悩みについて、当院のスタッフが真摯に対応いたします。
無理な契約を進めることはございませんので、安心してご相談ください。

Features 04
セファロ分析でより正確で丁寧な
矯正治療を提案
セファロ分析とは矯正専門のレントゲンで側顔のX線写真を基にした分析方法です。
これにより、骨格のバランスや歯の位置関係、成長の傾向などを詳しく調査することができます。
また、CT撮影や矯正治療専門の治療シミュレーションシステムを活用し、治療開始から完了までの歯並びの動きを解析していきます。
丁寧な治療計画を心がけております。
Features 04
セファロ分析でより正確で丁寧な
矯正治療を提案

セファロ分析とは矯正専門のレントゲンで側顔のX線写真を基にした分析方法です。
これにより、骨格のバランスや歯の位置関係、成長の傾向などを詳しく調査することができます。
また、CT撮影や矯正治療専門の治療シミュレーションシステムを活用し、治療開始から完了までの歯並びの動きを解析していきます。
丁寧な治療計画を心がけております。

Features 05
難症例や歯並びが
後戻りした方も対応可能
他医院で矯正治療をお断りされてしまった方や後戻りしてしまった方の矯正治療をお引き受けしています。
当院へ一度お気軽にご相談ください。
Features 05
難症例や歯並びが
後戻りした方も対応可能

他医院で矯正治療をお断りされてしまった方や後戻りしてしまった方の矯正治療をお引き受けしています。
当院へ一度お気軽にご相談ください。

Features 06
月々4,300円(税込)から矯正治療が可能
月額4,300円からお支払いできるデンタルローンによる分割払いを適用しています。
詳しくはページ下部の料金プランや無料カウンセリング時にお聞きください。
※自由診療につき公的医療保険適用外
Features 06
月々4,300円(税込)から
矯正治療が可能

月額4,300円からお支払いできるデンタルローンによる分割払いを適用しています。
詳しくはページ下部の料金プランや無料カウンセリング時にお聞きください。
※自由診療につき公的医療保険適用外

Features 07
学童期(10~16歳)や50歳以降の
矯正治療も手掛けています
小児矯正治療に出遅れてしまった学童期(10~16歳)の矯正治療も積極的に行なっています。
治療費も73.7万円で治療が可能です。
また、50~60歳以降の矯正治療のご相談で来院いただいております。
Features 07
学童期(10~16歳)や50歳以降の
矯正治療も手掛けています

小児矯正治療に出遅れてしまった学童期(10~16歳)の矯正治療も積極的に行なっています。
治療費も73.7万円で治療が可能です。
また、50~60歳以降の矯正治療のご相談で来院いただいております。

Features 08
大型駐車場60台完備
遠方からも安心して通院可能
お車でお越しいただく方も安心して通院できるよう駐車場を60台完備しています。
そのため、幸田町の方だけでなく岡崎市や西尾市、蒲郡の方によく来院いただいています。
Features 08
大型駐車場60台完備
遠方からも安心して通院可能

お車でお越しいただく方も安心して通院できるよう駐車場を60台完備しています。
そのため、幸田町の方だけでなく岡崎市や西尾市、蒲郡の方によく来院いただいています。

Features 09
総合歯科医院だからこそ
歯並び以外のトラブルも解決
当院は総勢80名のスタッフを有し、虫歯治療からインプラントまで幅広く対応しています。矯正だけでなく、必要に応じて他の治療も組み合わせることで、歯並びの改善と口腔全体の健康を同時に実現します。
矯正専門医院にはない総合的なサポートで、安心して治療を受けていただけます。
Features 09
総合歯科医院だからこそ
歯並び以外のトラブルも解決

当院は総勢80名のスタッフを有し、虫歯治療からインプラントまで幅広く対応しています。矯正だけでなく、必要に応じて他の治療も組み合わせることで、歯並びの改善と口腔全体の健康を同時に実現します。
矯正専門医院にはない総合的なサポートで、安心して治療を受けていただけます。
まずは無料相談に
お越しください
専門の歯科医が丁寧にカウンセリングし、
治療の流れや費用についてもわかりやすく
ご説明いたします。
まずはお気軽にご相談ください。
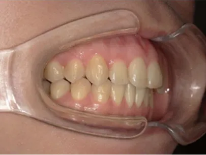
Mouthpiece
ハピネス歯科おとなこども歯科が
”取り扱うマウスピース
矯正メーカー”

【世界No.1シェア】
インビザライン
世界で1800万人から信頼されている
マウスピース矯正メーカーを使用しています
当院では、インビザラインというマウスピース型の矯正装置を利用します。
インビザラインは世界で1,800万人が利用している、世界で最も普及しているマウスピース矯正です。
治療は矯正検査の上、歯型を取って治療修了までのマウスピースを作成致し、このマウスピースを2週間ごとに交換して、少しずつ歯を動かしていきます。
メリット
- 透明なマウスピースで目立ちにくい
- 食事や歯磨きのときは矯正装置を取り外し可能
- 装着した時の不快感が少ない
- 少しずつ歯を動かすため、痛みが少ない治療
- 口内炎や虫歯など口腔内のトラブルが少ない
デメリット
- ワイヤー矯正を併用しないと希望の歯並びにならないケースがある。
- 医師の指示に従い正しく装置を使用しなければ、治療期間が延長する場合がある。
- マウスピース矯正で治療できない場合がある。
副作用やリスク
疼痛、咬合時痛、知覚過敏、歯根吸収、歯肉退縮が生じる可能性があります。
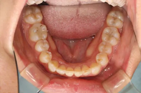
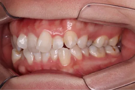
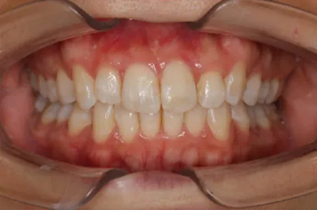
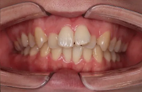
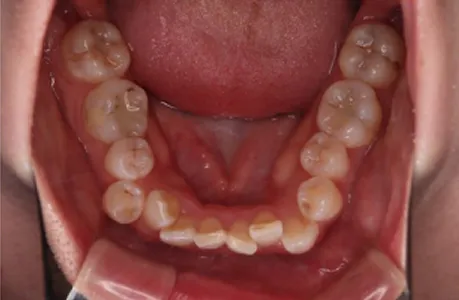
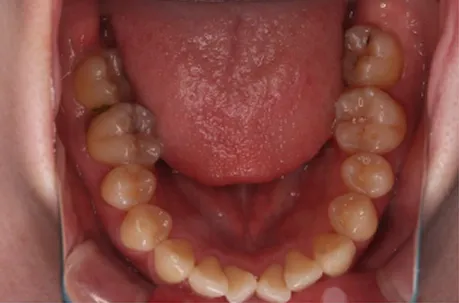
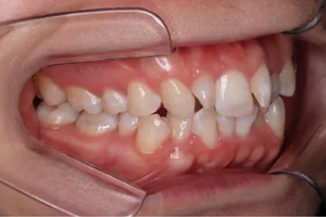
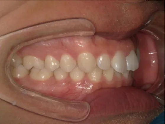
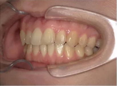
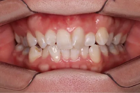
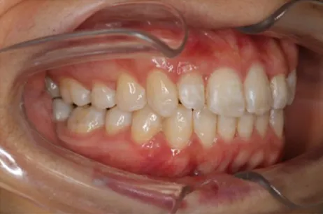
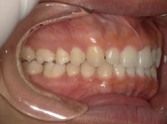
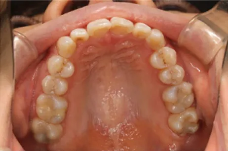
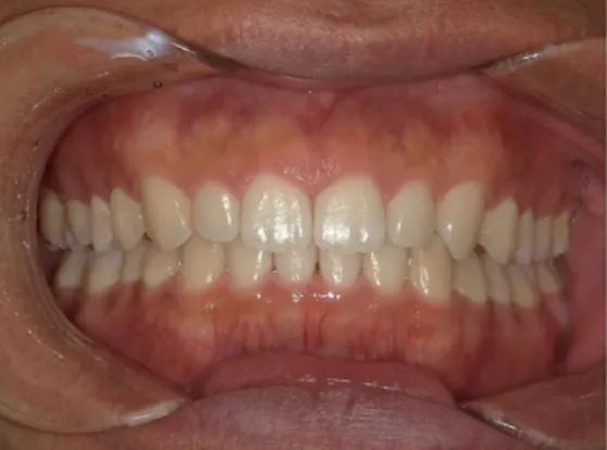
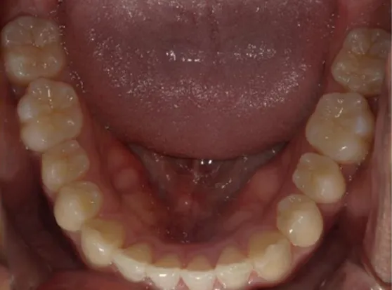
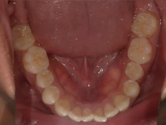
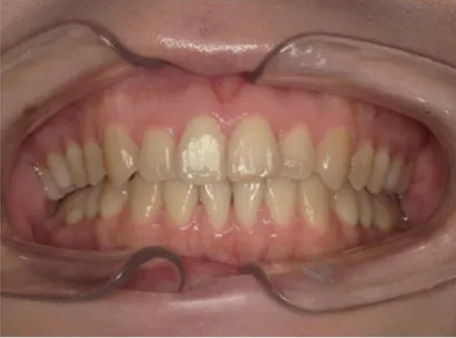
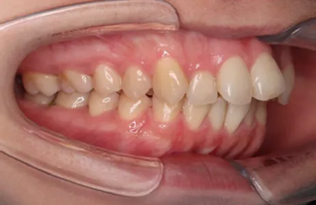
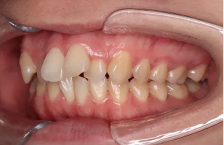
Case
ハピネス歯科おとなこども歯科の
”矯正治療実績”
-
矯正種類
成人矯正
治療方法
インビザライン、ワイヤー矯正も併用
抜歯有無
無
治療期間
2年6か月
費 用
資料取り55,000円、矯正費用660,000円、管理料5,500円
-
矯正種類
成人矯正
治療方法
インビザライン
抜歯有無
親知らず4本抜歯
治療期間
1年6か月
費 用
資料取り55,000円、矯正費用715,000円、管理料5,500円
-
矯正種類
成人矯正
治療方法
インビザライン
抜歯有無
親知らず4本抜歯
治療期間
1年
費 用
資料取り55,000円、矯正費用803,000円、管理料5,500円
Price
ハピネス歯科おとなこども歯科の
”矯正治療の料金表”
料金表
大人の矯正(17歳以上)
-
1. 初回相談
※レントゲン撮影が必要な場合は別途料金がかかります -
0円
-
1. 初回相談
0円 -
※レントゲン撮影が必要な場合は別途料金がかかります -
2. 精密検査診断料
当日のご契約 0円 -
5.5万円
-
3.マウスピース矯正
-
- 部分矯正
44万円 - 全体矯正(通常)
93.5万円 - 全体矯正(モニター価格)
82.5万円
- 部分矯正
-
4.調整料・観察料(1回)
-
0.55万円
学童期の矯正(10~16歳)
-
1. 初回相談
※レントゲン撮影が必要な場合は別途料金がかかります -
0円
-
1. 初回相談
0円 -
※レントゲン撮影が必要な場合は別途料金がかかります -
2. 精密検査診断料
当日のご契約 0円 -
5.5万円
-
3.マウスピース矯正
-
- 全体矯正(通常)
82.5万円 - 全体矯正(モニター価格)
73.7万円
- 全体矯正(通常)
-
4.調整料・観察料(1回)
-
0.55万円
子供の矯正(5~10歳)
-
1. 初回相談
※レントゲン撮影が必要な場合は別途料金がかかります -
0円
-
1. 初回相談
0円 -
※レントゲン撮影が必要な場合は別途料金がかかります -
2. 精密検査診断料
当日のご契約 0円 -
5.5万円
-
3.マウスピース矯正
-
55万円
-
4.調整料・観察料(1回)
-
0.55万円
支払い方法
- 現金払い
- クレジット払い:各種クレジットカードでのお支払い可能です。
- デンタルローン:デンタルローンの詳細に関してはカウンセリング時にお伝えいたします。

1. 現金払い
2. クレジット払い:各種クレジットカードでのお支払い可能です。

3. デンタルローン:デンタルローンの詳細に関しては
カウンセリング時にお伝えいたします。
下記の表はあくまでも参考の金額となります。 予めご了承ください。
下記の表はあくまでも参考の金額となります。
予めご了承ください。
| 年数 | 1年(12回) | 2年(24回) | 3年(36回) | 4年(48回) | 5年(60回) | 6年(72回) | 7年(84回) |
440,000円の場合(月額支払い費用) | 37,400円 | 19,000円 | 12,900円 | 9,900円 | 8,000円 | 6,800円 | 5,900円 |
825,000円の場合(月額支払い費用) | 70,200円 | 35,700円 | 24,300円 | 18,500円 | 15,100円 | 12,800円 | 11,200円 |
| 年数 | 44万円の場合(月額支払い費用) | 82.5万円の場合(月額支払い費用) |
| 1年(12回) | 37,400円 | 70,200円 |
| 2年(24回) | 19,000円 | 35,700円 |
| 3年(36回) | 12,900円 | 24,300円 |
| 4年(48回) | 9,900円 | 18,500円 |
| 5年(60回) | 8,000円 | 15,100円 |
| 6年(72回) | 6,800円 | 12,800円 |
| 7年(84回) | 5,900円 | 11,200円 |
医療費控除について
医療費控除とは、その年の1月1日から12月31日までの間に患者様本人、または家族全員の1年間の医療費の合計が10万円を超えた場合に一定の金額が還付される制度です。
確定申告することで還付金を受け取ることができます。
成人矯正で治療費が825,000円の場合
所得額(万円) | 250 | 300 | 400 | 500 | 600 | 700 | 800 | 900 | 1000 |
返還金額 (還付金+減税額) | 145,000円(72,500+72,500) | 145,000円(72,500+72,500) | 217,500円(145,000+72,500) | 217,500円(145,000+72,500) | 217,500円(145,000+72,500) | 239,250円(166,750+72,500) | 239,250円(166,750+72,500) | 311,750円(239,250+72,500) | 311,750円(239,250+72,500) |
| 所得額 (万円) | 返還金額 (還付金+減税額) |
| 250 | 145,000円 (72,500+72,500) |
| 300 | 145,000円 (72,500+72,500) |
| 400 | 217,500円 (145,000+72,500) |
| 500 | 217,500円 (145,000+72,500) |
| 600 | 217,500円 (145,000+72,500) |
| 700 | 239,250円 (166,750+72,500) |
| 800 | 239,250円 (166,750+72,500) |
| 900 | 311,750円 (239,250+72,500) |
| 1000 | 311,750円 (239,250+72,500) |
小児矯正で治療費が550,000円の場合
所得額(万円) | 300 | 400 | 500 | 600 | 700 | 800 | 900 | 1000 |
返還金額 (還付金+減税額) | 90,000円(45,000+45,000) | 135,000円(90,000+45,000) | 135,000円(90,000+45,000) | 135,000円(90,000+45,000) | 148,000円(103,500+45,000) | 148,000円(103,500+45,000) | 148,000円(103,500+45,000) | 193,500円(148,500+45,000) |
| 所得額 (万円) | 返還金額 (還付金+減税額) |
| 300 | 90,000円 (45,000+45,000) |
| 400 | 135,000円 (90,000+45,000) |
| 500 | 135,000円 (90,000+45,000) |
| 600 | 135,000円 (90,000+45,000) |
| 700 | 148,500円 (103,500+45,000) |
| 800 | 148,500円 (103,500+45,000) |
| 900 | 148,500円 (103,500+45,000) |
| 1000 | 193,500円 (148,500+45,000) |
Flow
ハピネス歯科おとなこども歯科の
”矯正治療の流れ”
01
ご予約・問い合わせ
お電話・ご予約フォームからご連絡ください。
初回カウンセリングや検査をしていただく日時をご予約いただきます。

02
無料カウンセリング&健診(60分)
・患者様の歯並びチェック
・患者様に近い症例ケースのご紹介
・料金やシステムのご説明
・ご希望の方は矯正検査や診断をいたします。
(レントゲン撮影が必要な場合は別途料金がかかります)

03
検査・資料取り(60分)
セファロ分析は患者様の側顔のX線写真を基にした分析方法です。これにより、骨格のバランスや歯の位置関係、成長の傾向などを詳しく調査することができます。矯正治療の計画や治療後の結果の評価には欠かせない方法となっています。

04
診断結果や治療計画のご説明
矯正検査のご報告と治療計画、ご利用料金についてご説明いたします。ご自身やご家族としっかり相談した上で、ご契約いただくことを推奨しています。
お急ぎの際は当日の契約も可能です。

05
ご契約&お支払い
治療計画や費用にご納得いただいた後にご契約となります。
当院ではデンタルローンによる分割払いを適用しています。ご相談ください。

06
治療開始
基本的な来院頻度はマウスピース矯正が1~2ヶ月に1回となります。
尚、治療計画により来院回数が異なります。

07
治療完了・メンテナンス
治療完了後に後戻りの確認や定期メンテナンスに通院いただくことがございます。

ハピネス歯科 おとなこども歯科
クリニック公式サイトを開く
ハピネス歯科 おとなこども歯科
クリニック公式サイトを開く-
医院名
-
ハピネス歯科 おとなこども歯科
-
住所
-
〒444-0103 愛知県額田郡幸田町大字大草字広野78-1
-
駐車場
-
60台完備
| 診療 時間 | 月 | 火 | 水 | 木 | 金 | 土/祝 | 日 |
| 9:00- 13:00 | ● | ● | ● | × | ● | □ | × |
| 14:30- 18:00 | ● | △ | ● | × | ● | □ | × |
▲:火曜日午後:15:00~18:00
□:土曜・祝日:9:00~16:30
休診日:木曜・日曜
※祝日のある週は木曜日も診察いたします。
Doctor
ハピネス歯科おとなこども歯科の
”理事長紹介”

ハピネス歯科おとなこども歯科理事長
稲吉 孝介
[ 経歴 ]
-
2011年
-
愛知学院大学歯学部 卒業
-
2012年
-
愛知学院大学提携歯科医院 研修
名古屋大学病院歯科口腔外科 勤務
-
2013年
-
医療法人福翔会福森歯科 勤務
-
2015年
-
社団法人ヒロデンタルクリニック 院長代理
-
2016年
-
ハピネス歯科おとなこども歯科 院長
[ 資格・学会 ]
- 歯科医師 / 衛生管理技士
- 日本顎口腔インプラント学会
- 日本小児歯科学会
- 日本歯内療法学会
- 日本顕微鏡歯科学会
- 日本口腔インプラント学会専修医
- 臨床ゲノム遺伝学会 認定医
- インビザライン矯正 認定医
- (一社)日本顕微鏡歯科学会 認定医

総勢80名のスタッフで
患者様の大切な歯をお守りしています
まずは無料相談に
お越しください
専門の歯科医が丁寧にカウンセリングし、
治療の流れや費用についてもわかりやすく
ご説明いたします。
まずはお気軽にご相談ください。





